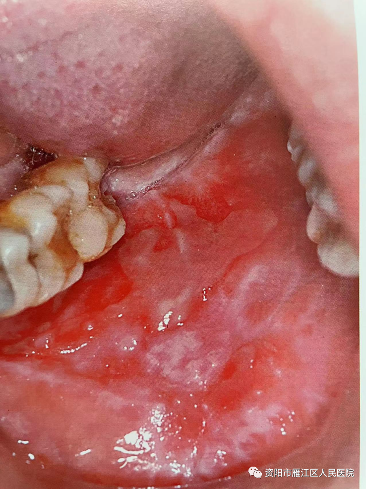
近日,刘先生经人介绍来到我院口腔科就诊。“大夫,我嘴巴里面长溃疡了,反反复复,可咋办?”经详细询问病史及系统性的临床检查,发现刘先生口腔两侧颊部粘膜广泛糜烂面,周缘树枝状白色条纹,临床诊断为“口腔扁平苔藓”。
刘先生这才知道,困扰了自己那么长时间的“口腔溃疡”其实是口腔扁平苔藓。经过一段时间的规范诊疗后,患者症状明显好转。
口腔扁平苔藓是口腔最常见的疾病之一,是一种慢性炎症性疾病。好发于女性,一般在30-60岁之间,患病率约0.5%~3%。主要表现为双颊、牙龈、舌头等黏膜上的网状、环状、树枝样白纹,也有患者表现为白色斑块状,可伴黏膜充血、糜烂,进食辛辣刺激或较烫的食物时出现疼痛,有少数患者同时伴有皮肤病损。
口腔扁平苔藓的病因和发病机制目前尚不明确,可能和多种因素有关系。包括:免疫因素、精神因素、内分泌因素,另外,扁平苔藓还可能与感染因素、微循环障碍、微量元素缺乏以及某些全身疾病(糖尿病、感染、高血压、消化道功能紊乱等)都有一定关系。口腔扁平苔藓不具有传染性,不存在传染源,也无传播途径,不满足传染疾病的基本条件,所以大家不用担心得了这个病会传染家人或朋友。
口腔扁平苔藓是口腔潜在恶性疾患之一,病损长期糜烂有癌变可能,为了更好地进行疾病监控,减少癌变的发生,建议患者定期复查,每3~6个月至少复诊一次。当病情出现快速进展,如白纹快速增多、口内出现糜烂或伴有疼痛不适情况时,及时到医院寻求专业帮助。
我院于2019年引入“曲安奈德联合利多卡因封闭治疗糜烂型口腔扁平苔藓”技术,为上百名此类型病患缓解了临床症状,多数患者临床疗效显著,依从性明显提高。
口腔扁平苔藓临床分型复杂,常以糜烂型、非糜烂型指导治疗。对于非糜烂型口腔扁平苔藓,临床治疗常为局部外用药。而糜烂型口腔扁平苔藓较为多发,传统治疗多采用含漱液治疗,治疗时间长,作用不明显,影响患者生活质量。而封闭治疗则通过局部给药方式,增加病变区药物浓度,可最大限度减轻局部炎症反应,促进糜烂愈合。特点:局部给药,微创,缩短治疗周期。


